Docket #: S19-202
Active Microgel Treatment for Oral Mucositis
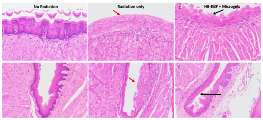
Stanford researchers have developed the first topical regenerative treatment for the oral cavity following chemo/radiation. Approximately 60,000 patients in the U.S. are annually diagnosed with head and neck cancer. More than 60% of patients that undergo radiation and chemotherapy develop severe mucositis, a condition marked by inflammation and ulceration. This leads to early termination of radiation treatment and to pain, which requires opioid analgesia and prevents oral intake. The researchers have created a mucoadhesive microgel that delivers heparin-binding EGF-like growth factor (HB-EGF), a topical growth factor that enhances epithelial migration and proliferation during the 2-week period following radiation therapy. These dopamine modified microgels improve HB-EGF's local delivery, increasing the factor's resident time and stability in the oral cavity and preventing the severe forms of the disease in animal models.
HB-EGF with microgel delivery protects the oral cavity from radiation-induced mucositis.
(Image credit: the inventors)
Stage of Development
Results in animal models show slower progression to disease as well as disease prevention with the use of the microgel encapsulated HB-EGF.
Applications
- Treating and preventing oral mucositis
- More broadly, microgel drug delivery to mucosas (oral, vaginal, rectal, nasal cavity, pulmonary, etc.)
Advantages
- HB-EGF microgels target large unmet need
- Demonstrated preclinical efficacy
- May increase patient compliance and survival
- Lubricating and convenient
- Market size >$1 billion
Related Links
Patents
- Published Application: WO2020243607
Similar Technologies
-
Machine Learning Model for Dose Volume Histograms (DVHs) and Dose Prediction based on Dosimetric Features S18-506Machine Learning Model for Dose Volume Histograms (DVHs) and Dose Prediction based on Dosimetric Features
-
Therapeutic Device Utilizing Electromagnetic Radiation with Oscillating Polarization State S22-075Therapeutic Device Utilizing Electromagnetic Radiation with Oscillating Polarization State
-
Retrospective Tuning of MR Image Contrast for Precision Imaging S19-233Retrospective Tuning of MR Image Contrast for Precision Imaging